产品介绍

穿戴超
掌超
手提超
推车超
兽超
眼超
膀胱超
治疗仪
心电监护
配件
8CR直肠T型双平面无线探头式掌上彩超

8CR直肠T型双平面无线探头式掌上彩超

SonoStar,无线探头,无线B超,无线超声,无线彩超,掌上超声,掌上B超,掌上彩超,迷你超声,迷你彩超,口袋B超,移动彩超,小型B超,视诊器,探头式B超, 迷你超, 微超, 手超, B超,B超机,超声诊断仪,黑白超,彩超,多普勒,B超厂家,彩超厂家,眼超,膀胱扫描仪
留言咨询 →



42.jpg

处理图片背景.jpg


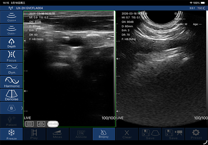
• 扫描方式:电子阵列扫描

• 探头频率:6.5MHz/8MHz,线阵腔内二种模式,长按开关键切换

• 扫描深度: 40-100mm

• 扫描角度:R13

• 阵元数:192

• 通道数:64

• 显示模式:B、B/M,彩超、PW、PDI

• 图像调节:增益、焦点、反相脉冲谐波、降噪

• 电影回放:手动和自动回放,可设置回放帧数为100/200/500/1000

• 图像帧频:18f/s

• 穿刺辅助功能:平面内穿刺引导线功能,平面外穿刺引导

• 图像保存:jpg, mp4, png, DCM多种格式

• 电池续航能力:标配2个电池,每个电池可续航3小时

• 充电方式:USB充电或无线充电

• 测量功能:距离、面积、周长、心率、产科

• 尺寸:336mmx35mmx28mm

• 重量:300g

• 探头与主机连接方式:wifi无线连接

• Wifi类型:802.11n/2.4G/5G双频450Mbps

• 会诊功能:直接通过手机、平板实现互联网远程会诊,也支持现场多部手机/    平板同屏显示进行会诊

• 软件支持系统:苹果iOS/安卓Android



>>彩页下载


在线留言

姓名:*

电话:*

邮箱:

公司

内容:

索诺星医疗科技 关注微信公众号
索诺星医疗科技 加微信咨询
地址:广东省广州市黄埔区联浦街6号902房  电话:4000198196  邮箱:sonostar@sonostar.net  网址:https://www.sonoeye.com
Copyright © 2023 索诺星医疗  粤ICP备2024241134号
    XML地图  双志网络